当前位置:肿瘤瞭望>百家>病例>正文

靶免联合 疗效显著丨一例汉曲优联合抗PD-1单抗治疗HER2阳性晚期胃癌的病例分享

作者:肿瘤瞭望   日期:2022/7/12 12:55:15  浏览量:23646

肿瘤瞭望版权所有,谢绝任何形式转载,侵犯版权者必予法律追究。

我国是胃癌高发国家,根据世界卫生组织国际癌症研究机构发布的2020年全球最新癌症负担数据显示,2020年我国癌症新发病例和死亡病例中胃癌均居第三位[1]。人类表皮生长因子受体2(HER2)阳性胃癌是一类特殊类型的胃癌。ToGA研究证实曲妥珠单抗联合化疗一线治疗可使HER2阳性晚期胃癌患者总生存期超过1年,成为胃癌靶向治疗的里程碑。近年来,免疫检查点抑制剂治疗部分晚期胃肠道肿瘤患者的疗效已被随机对照临床研究所证实, KEYNOTE-811研究结果显示,PD-1单抗联合曲妥珠单抗和化疗可以将HER2阳性晚期胃癌患者的ORR提升至74.4%。本文分享了一例汉曲优?联合抗PD-1单抗治疗HER2阳性晚期胃癌病例,显示出联合方案的临床获益以及安全性情况。(注:本文中汉曲优为复宏汉霖研发生产的曲妥珠单抗)

▌病例作者:郭琦玫 医生 揭阳市人民医院

 
▌点评专家:刘 浩 教授 南方医科大学南方医院
 
编者按
 
●我国是胃癌高发国家,根据世界卫生组织国际癌症研究机构发布的2020年全球最新癌症负担数据显示,2020年我国癌症新发病例和死亡病例中胃癌均居第三位[1]。人类表皮生长因子受体2(HER2)阳性胃癌是一类特殊类型的胃癌。ToGA研究证实曲妥珠单抗联合化疗一线治疗可使HER2阳性晚期胃癌患者总生存期超过1年,成为胃癌靶向治疗的里程碑。近年来,免疫检查点抑制剂治疗部分晚期胃肠道肿瘤患者的疗效已被随机对照临床研究所证实, KEYNOTE-811研究结果显示,PD-1单抗联合曲妥珠单抗和化疗可以将HER2阳性晚期胃癌患者的ORR提升至74.4%。本文分享了一例汉曲优®联合抗PD-1单抗治疗HER2阳性晚期胃癌病例,显示出联合方案的临床获益以及安全性情况。(注:本文中汉曲优为复宏汉霖研发生产的曲妥珠单抗)
 
病史简介
 
患者:谢XX,男,72岁。
 
主诉:进行性吞咽梗阻感2月余。
 
既往史:有高血压病史3年,否认有“冠心病、糖尿病”等慢性疾病。否认“乙肝”、“结核”等急慢性传染病史。
 
婚育史:已婚已育,配偶子女均体健。
 
家族史:否认家族性遗传病史及恶性肿瘤病史。
 
专科查体:KPS 90,全身浅表淋巴结未及肿大。上腹部稍膨隆,剑突下可扪及大小约5cm×4cm无痛性包块,质硬,表面光滑,边界欠清,活动度差,无波动感及波动感,局部皮温正常。余腹未及包块,无压痛反跳痛,肝脾肋下未及,Murphy征阴性,肝肾区无叩痛,移动性浊音阴性,肠鸣音5次/分。
 
影像学检查:
 
2022-1-14胃镜提示贲门块状物增生,贲门下小弯侧5×6 cm溃疡灶,边缘隆起。诊断意见:贲门胃体癌。
 
 
病理提示:“胃体”活检低分化腺癌,Lauren分型弥漫型。
 
基因检测:MSS,PD-L1阴性 CPS=0;HER2(FISH)阳性。
 
 
 
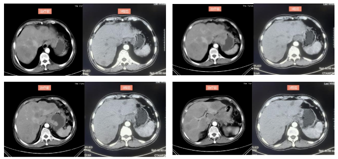
2022-1-18上腹部CT:1. 食管胃底交界-胃小弯壁明显增厚,侵犯胃壁全层,突破浆膜层伴腔外软组织肿块形成,最大横断面(胃小弯)约49×64 mm,考虑胃癌;2. 肝胃韧带、肝门区、腹膜后、右心膈角、纵膈内多发肿大淋巴结,较大21 mm,待排转移性淋巴结;3. 肝内多发转移瘤,较大位于肝S7,大小约66×82 mm。
 
 
2022-1-14肿瘤标志物:CEA 5.35ng/mL,CA199 2900U/mL,CA125 73.45U/mL;CA724 612.4U/mL。
 
诊断:贲门低分化腺癌伴肝、淋巴结多发转移cT4N2M1 Ⅳ期 MSS HER2阳性。
 
治疗经过
 
2022-2-8、3-2、3-23、4-14行PD-1单抗+曲妥珠单抗(汉曲优)+XELOX方案化疗4程。
 
具体方案为PD-1单抗200mg d1+曲妥珠单抗(汉曲优)(首剂8mg/kg,随后6mg/kg)+奥沙利铂 200mg ivdrip d1+卡培他滨1.5g po bid d1-d14,q3w。(患者首程治疗后吞咽梗阻感明显减轻,但胃肠道反应明显,故第2程开始予减量:奥沙利铂180mg+卡培他滨1.0g po bid。)
 
治疗后评价:肿瘤标志物明显下降。
 
 
2022-4-13复查上腹部CT(3疗程后):符合贲门-胃体癌表现,伴肝内多发转移瘤,病灶均较前明显缩小,疗效评价PR。
 
 
后续治疗方案:继续予PD-1单抗+曲妥珠单抗+XELOX方案化疗,6-8程化疗后拟改为PD-1单抗+曲妥珠单抗(汉曲优)+卡培他滨维持治疗。
 
▌病例小结: 
 
该患者初诊为HER2阳性晚期胃癌伴肝、淋巴结多发转移,临床分期为cT4N2M1 Ⅳ期,分子病理检测结果为MSS、PD-L1阴性(CPS=0)。根据2021版CSCO胃癌诊疗指南推荐,晚期HER2阳性患者,1A推荐曲妥珠单抗联合奥沙利铂/顺铂+5-FU/卡培他滨方案。基于KEYNOTE-811研究的初步疗效数据,美国FDA在2021年5月份,就已加速批准帕博利珠单抗联合曲妥珠单抗+化疗,一线治疗HER2阳性胃/胃食管连接癌的适应证。针对本例患者,为了追求更有效的治疗效果,尝试使用曲妥珠单抗、PD-1单抗联合化疗治疗,3周期后影像学评估PR,疗效显著,不良反应可控,说明曲妥珠单抗(汉曲优)联合抗PD-1单抗治疗的疗效显著及安全性良好。
 
专家点评
 
中国是胃癌大国,因缺乏有效筛查手段,确诊时多数患者已达中晚期。该患者初诊为HER2阳性晚期胃癌伴肝、淋巴结多发转移。HER2阳性胃癌侵袭性强、复发率高、预后不良。曲妥珠单抗在我国是HER2阳性晚期胃癌唯一的标准一线治疗。
 
Ⅲ期ToGA研究入组了584例未经化疗的HER2阳性晚期胃癌患者,结果证实曲妥珠单抗+化疗对比安慰剂+化疗,中位OS分别为13.8个月和11.1个月,曲妥珠单抗在HER2表达水平较高患者中尤其有效,这类患者的中位OS为16.0个月。基于此,化疗+曲妥珠单抗成为了 HER2阳性晚期胃癌患者的一线治疗标准[2]。2021 CSCO胃癌指南Ⅰ级推荐:HER2阳性晚期胃癌患者应予曲妥珠单抗联合奥沙利铂/顺铂+5-FU/卡培他滨治疗[3]
 
晚期或难治性胃癌的治疗选择十分有限,近年来,免疫检查点抑制剂治疗部分晚期胃肠道肿瘤患者的疗效已被随机对照临床研究所证实。KEYNOTE-811研究结果显示,帕博利珠单抗联合曲妥珠单抗和化疗可以将HER2阳性晚期胃癌患者ORR提升至74.4%,表明无论PD-L1表达情况如何,HER2阳性晚期胃癌患者均可从靶免联合中获益[4]。基于KEYNOTE-811研究的初步疗效数据,美国FDA在2021年5月份,已加速批准帕博利珠单抗联合曲妥珠单抗+化疗,一线治疗HER2阳性胃/胃食管连接癌的适应证;2022-V2版NCCN胃癌指南二级推荐帕博利珠单抗单抗+氟尿嘧啶/卡培他滨+顺铂/奥沙利铂用于HER2阳性胃腺癌治疗[5]
 
NCCN、ESMO指南均支持经批准的生物类似药可合理替代曲妥珠单抗。根据2020年《中国生物类似药专家共识》规定:生物类似药与参照药疗效等同、安全性相似,临床上可以替代使用。尽管生物类似药在研发阶段只在一个适应证开展了临床试验,根据“适应证外推”原则,可获得参照药的其他所有具有相同作用机制的适应证。2020年,汉曲优同时在中国获得转移性乳腺癌、早期乳腺癌和转移性胃癌三个适应证,这为HER2阳性的转移性胃癌患者带来更多的治疗选择。
 
本病例中,患者为HER2阳性、MSS、PD-L1阴性(CPS=0)晚期胃癌,为了追求更好的治疗效果,参考KEYNOTE-811研究的治疗方案,结合患者的分子病理特征与实际情况,患者最终治疗方案为曲妥珠单抗(汉曲优)+PD-1单抗+卡培他滨+奥沙利铂。治疗3个疗程后,患者肿瘤标志物降至正常,影像学疗效评价PR。治疗过程中仅观察到胃肠道反应,心脏、肝肾功能毒性及免疫治疗相关毒性均未出现,安全性可控。结果证明汉曲优在HER2阳性晚期胃癌患者治疗上疗效显著,安全性良好,临床上可以替代使用。
 
参考文献
 
1. https://publications.iarc.fr/586
 
2. Bang Y J, Cutsem E V, Feyereislova A, et al. Trastuzumab in combination with chemotherapy versus chemotherapy alone for treatment of HER2-positive advanced gastric or gastro-oesophageal junction cancer (ToGA):a phase 3, open-label, randomised controlled trial[J]. LANCET -LONDON-, 2010.
 
3. 中国临床肿瘤学会指南工作委员会. 胃癌诊疗指南2021版[J]. 2021.
 
4. Janjigian Y Y, Kawazoe A, Yaez P, et al. The KEYNOTE-811 trial of dual PD-1 and HER2 blockade in HER2-positive gastric cancer[J]. Nature, 2021, 600.
 
5. NCCN Clinical Practice Guidelines in Oncology (NCCN Guidelines)Gastric Cancer. Version 2.2022 -January 11,2022.
 
病例作者简介
 
 
郭琦玫 医生
 
揭阳市人民医院肿瘤内二区主治医师
 
肿瘤内科医学硕士
 
揭阳市医学会肿瘤学分会委员
 
病例点评专家简介
 
 
刘浩  教授  
 
南方医科大学南方医院
 
副主任医师、副教授、硕士研究生导师
 
南方医科大学南方医院普通外科
 
德国癌症研究中心(DKFZ) 博士后
 
德国波恩大学、同济大学联合培养博士
 
主要从事胃肠外科临床研究 和综合治疗
 
中华医学科技一等奖(排名第6), 广东省科技进步一等奖(排名第4)
 
广东省医学会临床研究学会 常务委员
 
广东省抗癌协会肿瘤流行病学专委会委员
 
中国抗癌协会肿瘤大数据与真实世界研究专委会青年委员
 
BMC Public Heath杂志慢病专题副主编
 
Frontiers in Oncology杂志GI专题副主编 
 

本内容仅供医学专业人士参考


HER2阳性晚期胃癌

分享到: 更多