当前位置:肿瘤瞭望>资讯>正文

HER2低表达早期乳腺癌的临床病理特征与预后:一项单中心研究

作者:肿瘤瞭望   日期:2022/11/7 11:24:43  浏览量:12983

肿瘤瞭望版权所有,谢绝任何形式转载,侵犯版权者必予法律追究。

近年来HER2低表达能否作为一个新的乳腺癌分型引起临床热议,目前较为支持其作为治疗分型,在预后指导方面仍缺乏一致数据。

编者按:近年来HER2低表达能否作为一个新的乳腺癌分型引起临床热议,目前较为支持其作为治疗分型,在预后指导方面仍缺乏一致数据。近日,一项发表于Europe PMC杂志上来自国内的单中心研究显示,在HR阳性患者中,HER2低表达相较于HER2零表达患者具有更好的5年DFS率。
 
 
研究简介
 
人表皮生长因子2(HER2)低表达乳腺癌,其定义为免疫组化为HER2 1+或2+且基因扩增阴性,其在所有乳腺癌占了相当大的比重。然而,HER2低表达乳腺癌是否为一个独立亚型,目前仍存在争议。本研究目的是比较早期乳腺癌患者中HER2零表达(HER2-0)和HER2低表达之间的临床病理学特征和生存结果。
 
该研究是一项回顾性分析,纳入了单中心2013年至2014年间的1039名具有HER2表达数据的患者,在后续分析排除了其中的262名HER2阳性患者。其余患者分为HER2-0组和HER2低表达组。每组别进一步细分为激素受体(HR)阳性和激素受体阴性亚组。收集并比较HER2-0和HER2-低表达组间的临床病理学特征。主要终点是无病生存期(DFS)和总生存期(OS),采用Kaplan-Meier法对数秩检验、界标分析和Cox比例风险模型进行分析。
 
本次分析共纳入777例非HER2阳性患者,其中HR阳性/HER2-0、HR阳性/HER2低表达、HR阴性/HER2-0、HR阴性/HER2低表达患者分别为126、552、53、46例。当按HR状态配对时,HER2-0和HER2低表达组间DFS和OS没有显著差异。设定5年时间点的界标分析表明,与HR阳性/HER2-0患者相比,HR阳性/HER2低表达患者的5年DFS更好(p=0.0047)。HER2低表达是5年DFS的独立预后因素[风险比(HR)0.31,95%置信区间(CI)0.13-0.75,p=0.01]。
 
无论HR状态如何,HER2-0和HER2低表达乳腺癌患者的临床病理学特征和预后都是相似的。HR阳性/HER2低表达肿瘤患者5年DFS往往比HR阳性/HER2-0患者更好。
 
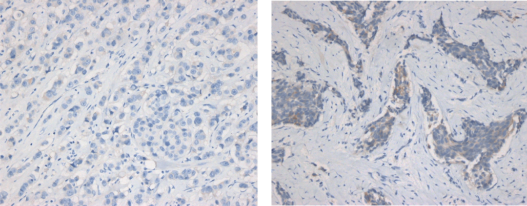
△HER2-0和HER2低表达乳腺癌的代表性IHC图像
 
△在HR阳性/HER2-0和HR阴性/HER2低表达患者组中对DFS和OS进行界标分析
 
研究讨论
 
乳腺癌治疗一直处于精准治疗的前沿,代表性例子之一就是针对HER2阳性乳腺癌的靶向治疗。新型ADC药物的出现使HER2中度表达的广大患者受益于抗HER2治疗成为可能1。然而关于HER2低表达是否为一个独立亚型目前仍然是一个长久的争论,并且该方面也缺少数据,尤其是缺少中国的人群数据。最近本单位发表了一项关于转移性乳腺癌患者中HER2低表达的研究,发现HER2低表达与更好的OS相关2。
 
本研究在早期乳腺癌患者中比较了不同HR状态下的HER2-0与HER2低表达组间的临床病理学特征和预后情况。从长远来看,在HR阳性队列中,HER2低表达乳腺癌患者群体相比于HER2-0群体有更好的DFS。
 
一项基于中国乳腺癌女性(n=523)的新发表研究表明,HER2低表达与不同的临床和分子特征相关(例如Ki-67较低表达以及特定类型的基因突变)3。本研究结果并不支持HER2低表达与HER2-0间生物学的差异。鉴于目前研究结果相互矛盾,HER2低表达乳腺癌是否更具浸润性还不得而知4-6。
 
目前HER2低表达乳腺癌的预后仍然存在争议。本研究在总体人群和HR阳性/阴性亚组中分析了HER2-0和HER2低表达间的DFS和OS。无论HR如何,HER2-0和HER2低表达间的DFS和OS并无显著差异。本结果与一项日本研究结果一致7。然而一项韩国新发表研究表明不论HR状态如何,HER2低表达群体中乳腺癌特异性生存(BCSS)而不是OS更好6。另一项多中心研究表明,在非转移性乳腺癌中HER2低表达患者有更好的无复发生存(RFS)和OS8。
 
解释结果时应当考虑几个限制条件。首先,本研究是一项回顾性分析,由于其性质而有一些潜在偏倚。其次,本研究样本量相对较小,特别是对于HR阴性人群。研究中排除了没有可用FISH结果的HER2 IHC2+患者,这可能会引起患者选择性偏倚。此外,对HER2的IHC评估缺乏中央病理审查,导致结果可能因人而异。而且目前的检测技术很难将HER2-0和HER2 IHC 1+区别开来9,这可能会削弱本研究的可信度。
 
总之本研究表明,在HR阳性或HR阴性各亚组内,HER2-0和HER2低表达乳腺癌之间的临床病理学特征基本一致。界标分析表明,与HR阳性/HER-0肿瘤患者相比,HR阳性/HER2低表达患者5年后的DFS更高。
 
▌原文链接:
https://www.frontiersin.org/articles/10.3389/fonc.2022.906011/full
 
参考文献:
 
1 Tarantino P,Hamilton E,Tolaney SM,Cortes J,Morganti S,Ferraro E,et al.HER2-Low Breast Cancer:Pathological and Clinical Landscape.J Clin Oncol(2020)38(17):1951–62.doi:10.1200/jco.19.02488
 
2 Li Y,Abudureheiyimu N,Mo H,Guan X,Lin S,Wang Z,et al.In Real Life,Low-Level HER2 Expression May Be Associated With Better Outcome in HER2-Negative Breast Cancer:A Study of the National Cancer Center,China.Front Oncol(2021)11:774577.doi:10.3389/fonc.2021.774577
 
3 Zhang G,Ren C,Li C,Wang Y,Chen B,Wen L,et al.Distinct Clinical and Somatic Mutational Features of Breast Tumors With High-,Low-,or non-Expressing Human Epidermal Growth Factor Receptor 2 Status.BMC Med(2022)20(1):142.doi:10.1186/s12916-022-02346-9
 
4 Schettini F,Chic N,Brasó-Maristany F,ParéL,Pascual T,Conte B,et al.Clinical,Pathological,and PAM50 Gene Expression Features of HER2-Low Breast Cancer.NPJ Breast Cancer(2021)7(1):1.doi:10.1038/s41523-020-00208-2
 
5 Denkert C,Seither F,Schneeweiss A,Link T,Blohmer JU,Just M,et al.Clinical and Molecular Characteristics of HER2-Low-Positive Breast Cancer:Pooled Analysis of Individual Patient Data From Four Prospective,Neoadjuvant Clinical Trials.Lancet Oncol(2021)22(8):1151–61.doi:10.1016/s1470-2045(21)00301-6
 
6 Won HS,Ahn J,Kim Y,Kim JS,Song JY,Kim HK,et al.Clinical Significance of HER2-Low Expression in Early Breast Cancer:A Nationwide Study From the Korean Breast Cancer Society.Breast Cancer Res:BCR(2022)24(1):22.doi:10.1186/s13058-022-01519-x
 
7 Horisawa N,Adachi Y,Takatsuka D,Nozawa K,Endo Y,Ozaki Y,et al.The Frequency of Low HER2 Expression in Breast Cancer and a Comparison of Prognosis Between Patients With HER2-Low and HER2-Negative Breast Cancer by HR Status.Breast Cancer(Tokyo Japan)(2021)29(2):234–41.doi:10.1007/s12282-021-01303-3
 
8 Tan R,Ong WS,Lee KH,Lim AH,Park S,Park YH,et al.HER2 Expression,Copy Number Variation and Survival Outcomes in HER2-Low non-Metastatic Breast Cancer:An International Multicentre Cohort Study and TCGA-METABRIC Analysis.BMC Med(2022)20(1):105.doi:10.1186/s12916-022-02284-6
 
9 MarchiòC,Annaratone L,Marques A,Casorzo L,Berrino E,Sapino A.Evolving Concepts in HER2 Evaluation in Breast Cancer:Heterogeneity,HER2-Low Carcinomas and Beyond.Semin Cancer Biol(2021)72:123–35.doi:10.1016/j.semcancer.2020.02.016
 
材料由阿斯利康支持,仅供医疗卫生专业人士参考

本内容仅供医学专业人士参考


乳腺癌乳腺癌诊疗规范传递

分享到: 更多